Recently, the team from the Department of Pediatric Surgery led by Cao Zhenjie at the First Affiliated Hospital (FAH) of Xi’an Jiaotong University (XJTU), in collaboration with the Department of Hepatobiliary Surgery and the Anesthesia/Operating Room team, successfully performed resection of a giant hepatoblastoma in a 3-year-old child.
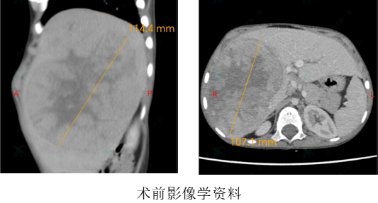
Several months earlier, the child presented with a visibly protuberant right upper abdomen and a palpable hard mass. CT at a local hospital in Shiyan City, Hubei Province, revealed a large hepatic space-occupying lesion measuring approximately 14 × 9 × 15 cm, with a diagnosis of hepatoblastoma. After three cycles of neoadjuvant chemotherapy yielded suboptimal results, the patient sought care at the Department of Pediatric Surgery of the FAH of XJTU.
After admission, the Department of Pediatric Surgery immediately convened a multidisciplinary consultation with the Department of Hepatobiliary Surgery, the Anesthesia/Operating Room team, and other relevant departments. Following preoperative evaluation and discussion, a right hemihepatectomy was decided upon.
Upon entering the operating room, the team from the Department of Anesthesia/Operating Room led by Zhou Rongsheng administered general anesthesia combined with analgesia and implemented continuous arterial pressure monitoring and central venous pressure monitoring to maintain stable vital signs throughout the procedure. Intraoperatively, a giant tumor occupied the entire surgical field, with the left hemiliver and intestines severely compressed. Transection of the hepatic parenchyma revealed the middle hepatic vein abutting the tumor capsule. Through meticulous dissection, the pediatric surgery team together with Professor Li Yu from the Department of Hepatobiliary Surgery preserved the middle hepatic vein, avoided injury to hepatic vessels and bile ducts, ensured maximal preservation of the residual liver function, and prevented postoperative liver failure or biliary complications. With extensive experience and refined technique, the team ultimately achieved complete tumor resection and performed cosmetic closure of the abdominal incision.
The child has recovered well postoperatively and has been discharged safely.
Reminder from the pediatric surgery team: If a child presents with an unexplained abdominal mass, possibly accompanied by symptoms such as loss of appetite or failure to gain weight, prompt medical examination is advised. Early detection, early diagnosis, and early treatment are key to successful management.


